Watch our YouTube channel   Find us on Facebook    Find us on Instagram

Dental disorders are linked to mouth breathing

The link between breathing, facial/dental development, sleep disorders, health and longevity

Children who mouth-breathe are more prone to enlarged adenoids/tonsils, glue ear, respiratory infections, asthma, allergies and chronic cough. If this habit is not corrected, it can lead to crooked teeth, receding chin, protruding nose, narrow airway and a high risk of developing obstructive sleep apnoea, respiratory disorders and cardiovascular risk as adults.

Mouth-breathing child

If uncorrected this child’s open-mouth breathing is likely to result in narrow dental arches, crooked teeth, receding chin, protruding nose, narrow airway and high risk of developing obstructive sleep apnoea by the age of 30.

Signs and symptoms of mouth breathing may include:

  • Open-mouth posture, especially while sleeping
  • Dry lips
  • Crowded teeth
  • Increasingly long and narrow face (long face syndrome)
  • Gums show when smiling
  • Bad breath (halitosis)
  • Dark circles under the eyes “allergic shiners”
  • Snoring or audible breathing during sleep
  • Sleep apnea (breathing stops for short intervals)
  • Daytime sleepiness
  • Frequent respiratory infections (colds, ear infections, sinusitis)
Mouth-breather

The image on the left shows the boy at 11 years old. The two images on the right are the same boy at 17 years of age and show facial changes from an uncorrected mouth-breathing habit resulting from allergies and nasal congestion. Source: Professor John Mew

Dental problems resulting from uncorrected open-mouth breathing may include: 

Virtually all my adult clients with sleep apnoea confirm they were mouth breathers in childhood and many of these will have had teeth extracted in their teens. Early intervention for children with establishment of good breathing habits can help avoid more invasive dental treatments such as teeth extraction and braces in their teens.

Mouth breathing results in vertical growth 
which damages faces
Ben age 8

Source: Orthotropics.com

Mouth breathing is corrected,
resulting in horizontal growth
which improves faces
Ben age 11

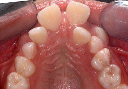
Mouth breathing – tongue position and facial development:

  • The teeth sit in a neutral position between the cheeks and the tongue.
  • During nasal breathing the tongue rests in the roof of the mouth. The tongue exerts outward pressure ensuring wide dental arches and straight teeth. Lips and cheeks provide a counter force to the tongue.
  • During mouth breathing the tongue drops to the floor of the mouth and the cheeks then exert force on the teeth causing constriction of the maxilla resulting in a narrow crowded jaw and crooked teeth.
Normal wide arches

Normal wide arches

Narrow arches

Narrow arches – no room for the tongue here

Many dentists now recommend early intervention to avoid these and more serious disorders like obstructive sleep apnoea. Breathing re-training is an essential part of the treatment plan. As Nic Anderson of Alpers dental says, "If the ingrained habit of mouth breathing is not corrected all orthodontic treatments will relapse."

The Buteyko Breathing Clinic specialises in treatments for dental-related disorders including snoring, obstructive sleep apnoea, narrow airways, and adenoid enlargement. By helping to correct the bad habit of open-mouth breathing and dry gums, the programme also assists in improving dental hygiene reducing periodontal disease, dental caries and halitosis.

Phone our clinic on 09-360 6291 to book an appointment or for more information about the programme.


What the dentists say:

Nicholas Anderson

“I strongly believe that improper breathing is a major contributory factor for the orthodontic problems I see.  If this cause is not addressed the success of the orthodontic treatment will be limited and the chance of relapse (treatment failure) is very high.  Unfortunately, the traditional approach of waiting for all adult teeth to be present before placing braces, and ignoring the underlying cause, means that the treatment required is normally far more invasive.  If I had my way I would have corrective breathing therapy compulsory for all school-age children.”
Nicholas Anderson BDS, Alpers Dental, Newmarket, Auckland

John Flutter

‘When I see a child for the first time seeking orthodontic treatment the first thing I assess is the breathing pattern. All children who are chronic mouth-breathers will develop a malocclusion.’
Dr John Flutter BDS

Alfonso Vargas

"Buteyko breathing therapy plays an important role in helping facial-dental development in the children that participate in our program. The technique corrects mouth breathing which can lead to incorrect jaw posture/development and poor facial muscle function. This can result in narrow dental arches causing crowded teeth. In addition, open-mouth breathing results in a dry mouth which can increase the chances of tooth decay. Of all the breathing therapies I've tried the Buteyko Breathing Clinic delivers the best results in correcting these problems."
Dr Alfonso Vargas, Laser and Cosmetic dentist, functional jaw orthopaedics, LaserKids Dental, LaserLifecare Institute

Helping people with breathing disorders since 2001

20 Arthur Street, Freemans Bay, Auckland 1011, New Zealand  |  Phone +64 9 360 6291  |  Email info@buteykobreathing.nz

Download our leaflets [PDFs]:  Do you suffer from asthma or allergies? »    Do you snore or suffer from sleep apnoea? »

BIBH logo
Registered Practitioner / Practitioner Trainer

PRIVACY POLICY
All cartoons courtesy of Chris Slane, Qantas Media Awards Cartoonist of the Year 2010  © slane.co.nz

Site design © e-compass.nz 2015